Phẫu thuật thành công khối u thận khổng lồ xâm lấn tĩnh mạch chủ dưới
Các bác sĩ Bệnh viện Ung Bướu Hà Nội vừa thực hiện thành công ca phẫu thuật loại bỏ khối u thận trái kích thước lớn xâm lấn tĩnh mạch chủ dưới.

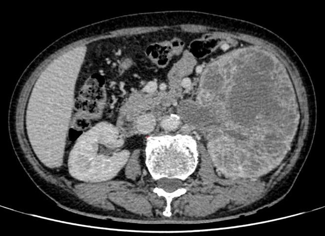
Hình ảnh chụp CT khối u ở thận xâm lấn tĩnh mạch chủ dưới. Ảnh: BVCC
Phát hiện khối u lớn với biến chứng nguy hiểm
Bệnh nhân nhập viện trong tình trạng đau tức vùng bụng bên trái, đôi khi tiểu máu và bụng chướng nhẹ.
Trước đó, bệnh nhân khỏe mạnh, chưa từng phát hiện bệnh lý. Kết quả thăm khám và chẩn đoán hình ảnh cho thấy khối u ở thận trái kích thước khoảng 15 x 20 cm, phá hủy hoàn toàn cấu trúc nhu mô thận, xâm lấn đài – bể thận.
Đáng chú ý, khối u đã gây huyết khối trong tĩnh mạch thận, lan tới tĩnh mạch chủ dưới, làm tăng nguy cơ tắc mạch hoặc thuyên tắc mạch phổi đe dọa tính mạng.
Ca phẫu thuật với nhiều thách thức
Theo BSCKII. Võ Quốc Hoàn - Phó Trưởng phòng Kế hoạch tổng hợp, bác sĩ Khoa Ngoại Tổng hợp, người trực tiếp thực hiện ca phẫu thuật cho biết: Ca phẫu thuật thuộc nhóm phẫu thuật tiết niệu – ung bướu có độ khó và nguy cơ cao do kích thước u rất lớn: chiếm trọn ổ thận, gây hẹp trường mổ, hạn chế thao tác bóc tách.
Xâm lấn hệ tĩnh mạch lớn: huyết khối lan từ tĩnh mạch thận tới tĩnh mạch chủ dưới, lưu lượng máu lớn, nguy cơ mất máu ồ ạt hoặc di chuyển huyết khối.
Nguy cơ gây mê – hồi sức cao: do ảnh hưởng tuần hoàn tĩnh mạch chủ dưới, đòi hỏi kiểm soát huyết động nghiêm ngặt.
Bệnh nhân được chuẩn bị kỹ trước mổ, được truyền máu, đánh giá toàn diện chức năng tim, phổi, thận. Trong mổ, ê-kíp tiến hành cắt thận trái kèm khối u toàn bộ, đồng thời mở tĩnh mạch chủ dưới lấy huyết khối, bảo tồn tối đa cấu trúc mạch máu và chức năng thận phải.
Quá trình mổ kéo dài nhiều giờ, yêu cầu phẫu thuật viên có kỹ thuật vi phẫu mạch máu chính xác và phối hợp nhịp nhàng với gây mê – hồi sức.

Bác sĩ cũng chia sẻ sau phẫu thuật, bệnh nhân hồi phục tốt, chức năng thận phải ổn định, ăn uống – vận động nhẹ nhàng sau 1 tuần. Người bệnh được chỉ định điều trị bổ trợ bằng thuốc miễn dịch nhằm giảm nguy cơ tái phát và cải thiện tiên lượng sống còn.
Ung thư biểu mô tế bào thận (Renal Cell Carcinoma – RCC) có thể diễn tiến âm thầm, chỉ phát hiện khi khối u lớn hoặc có biến chứng. Các triệu chứng như đau hông lưng, đái máu, bụng to bất thường cần được thăm khám chuyên khoa sớm.
Chẩn đoán và can thiệp kịp thời giúp tăng khả năng phẫu thuật triệt căn, giảm biến chứng và cải thiện chất lượng sống cho người bệnh.







